Meinafræðirannsóknir
Meinafræðideildin sinnir ýmsum rannsóknarverkefnum, fyrst og fremst í búfénaði. Meðal verkefna sem hafa verið unnin á deildinni síðustu árin má nefna flúorvöktun vegna álvera og eldgosa, rannsóknir á kregðu og öðrum öndunarfærasýkingum í sauðfé, smitandi hósta í hrossum, orsök kálfadauða og folaldadauða. Gerð er grein fyrir nokkrum rannsóknarverkefnum sem eru í gangi á deildinni hér fyrir neðan.
Titill
Rannsókn á ónæmiskerfinu í munnholi hrossa
Verið er að kortleggja ónæmiskerfið í munnholi hrossa í tengslum við þróun ónæmismeðferðar gegn sumarexemi um munnslímhúð.
Rannsóknin hefur sýnt fram á áður óþekkt svæði með eitilvef í kjafti hrossa, en hann er í tannlausa bilinu og undir tungu.
Unnið hefur verið að mótefnalitun til nánari greiningar á tegundum ónæmisfruma á þessum svæðum og er úrvinnsla gagna í gangi.
Myndin hér til hliðar er dæmi um slíka ónæmislitun.

Fósturtalningar á gimbrum
Fósturtalningar á gimbrum hér á landi hafa leitt í ljós að lambleysi veturgamalla áa orsakast í mörgum tilfellum af fósturláti, en ekki því að þær festi ekki fang. Vandamálið þekkist ekki á öllum búum, og sést ekki hvert ár á viðkomandi búum. Komið hefur í ljós að gimbrar láta fóstri á um 60 daga tímabili á 1.-3. mánuði meðgöngu. Sést hafa vefjaskemmdir á ytri æxlunarfærum ásetningslamba (gimbra og hrúta) á fengitímanum en ekki er vitað hvað veldur þeim eða hvort fylgni sé við fósturlát.
Verkefnið snýst um að rannsaka fósturlát í íslenskum gemlingum. Lögð hefur verið áhersla á að greina hvenær á meðgöngunni fósturlát verður hjá gripunum og lýsa þeim meinafræðilegu breytingum sem sjást á ytri æxlunarfærum. Einnig að greina orsakir þessara breytinga með aðferðum sýklaræktunar og veirufræðilegra greininga.
Bógkreppa í sauðfé
Bógkreppa í sauðfé hefur verið þekkt áratugum saman, en það er arfeng vansköpun sem lýsir sér í stuttum fótum og skekkju í liðum framfóta. Vansköpunin kemur missterkt fram í einstaklingum, en í verstu tilfellum geta lömbin ekki stigið í framfætur og komast ekki af sjálfsdáðum á spena. Aðkoma sérfræðinga á Keldum snýst um að lýsa meinafræði gallans, en honum hefur ekki verið lýst með meinafræðilegum aðferðum áður.
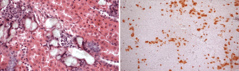
Meinafræðilegar rannsóknir á rjúpum
Söfnun sýna úr rjúpum í meinafræðilega rannsókn hófst haustið 2006 og lauk árið 2018. Ýmsar tilfallandi breytingar hafa komið í ljós í gegnum árin eins og húðbólgur af völdum kláðamítilsins Metamicrolichus islandicus, aðskotahlutsbólgur í sarpi, bólga í eggjaleiðurum, beinbrot ofl.
Á fyrsta ári rannsóknarinnar komu í ljós útfellingar af oxalatkristöllum í nýrunum. Því var farið að taka nýrnasýni úr öllum fuglum ár hvert (u.þ.b. 100 fuglar á ári). Fjöldi fugla með þessar útfellingar hefur verið breytilegur á milli ára og einnig magn útfellinga í hverjum fugli. Líklegt er að oxalat komi úr fæðunni og þá helst súrum, en áhrif þessara útfellinga eru óviss. Verið er að bera saman þessar breytingar við m.a. holdafar og fjölda fugla ár hvert í því skyni að meta hugsanleg áhrif á heilbrigði fuglanna.
Fyrstu árin fór einnig fram vefjaskoðun á görnum til að rannsaka áhrif hníslasýkingar. Á þeim tímapunkti sem garnir voru skoðaðar komu í ljós hverfandi litlar skemmdir í garnaslímhúð þó ýmsar tegundir af hníslum fundust í saur. Úrvinnsla gagna er enn í gangi.
Á myndunum hér að neðan má sjá vefjalitun á rjúpunýra. Vinstri myndin er ósértæk vefjalitun, en sú til hægri er sérlitun þar sem oxala kristallar verða appelsínugulir.
